Service

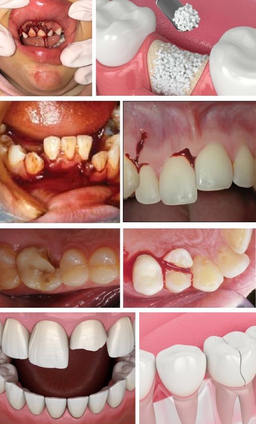
 Management of fractures of teeth and alvelolar bone

Management of fractures of teeth and alvelolar bone

Service

People may have to face trauma at any stage of life. It may affect children, young adolescents, adults, or old aged people.

The most common trauma we get in maxillofacial regions is trauma to the tooth/teeth and/or an associated trauma to the alveolar bone.

Treatment protocol varies according to the type of trauma, severity of trauma, and patient's age.

Trauma to the teeth will sometimes result in a fracture of the tooth/teeth itself, leaving the underlying maxillary or mandibular alveolus intact.

At other times, a portion of the alveolus will be fractured along with the tooth/teeth. This latter scenario is called a dentoalveolar fracture.

Common causes are:

  • Fist fights,
  • Motor vehicle accidents,
  • Athletic injuries,
  • Falls from heights,
  • Industrial accidents,
  • Gunshot wounds.

People come with the common complaint of:

  • Tooth mobility,
  • Gingival bleeding,
  • Occlusal interference,
  • Intra & extra oral soft tissue lacerations.

Sometimes, patient comes with tooth/teeth in their hands or other storage medium. This type of avulsed tooth/teeth can be replanted in their original place (condition may vary).

Reduction and stabilization are the common solution for this dentoalveolar injury.

For any enquiry, feel free to call us.

© 2025 S.P.'s Dental Hub All rights reserved | Design by PJSINDIA